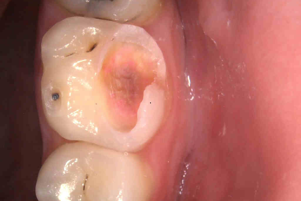
Ošetření zubního kazu

Vyšetření pod zvětšením
Přesná lokalizace kazu, posouzení rozsahu a stavu okolních tkání.

Barevná detekce kazu
Zvýšení přesnosti — odstraníme jen nemocnou tkáň, zdravou zachováváme.

Lokální anestezie - bezbolestně
Moderní, šetrné znecitlivění — ošetření probíhá komfortně a bez bolesti.

Fotokompozitní výplň
Estetická bílá výplň v barvě zubu, modelovaná do anatomického tvaru pro dlouhou životnost.

Izolace koferdamem
Gumová blána chrání zub před slinami, zvyšuje přesnost práce a hygienu během ošetření.

Intraorální fotografie (dle potřeby)
Dokumentace před/po pro lepší přehled a komunikaci.
